Introducing
Direct-to-Digital Pathology.

For today’s transactional oncology clinical care & research, and tomorrow’s digitally native AI-enhanced diagnostics workflows.

We’re building the foundation of tomorrow’s digital pathology ecosystem…

with the backing of world-class partners.

to top

SurgiVance’s Direct-to-Digital Pathology Platform

Point-of-Care Tabletop Imager

AI-Powered Image Processing Software

Disposable Tissue Specimen Cassettes

to top

Let’s shine a light on the numbers…

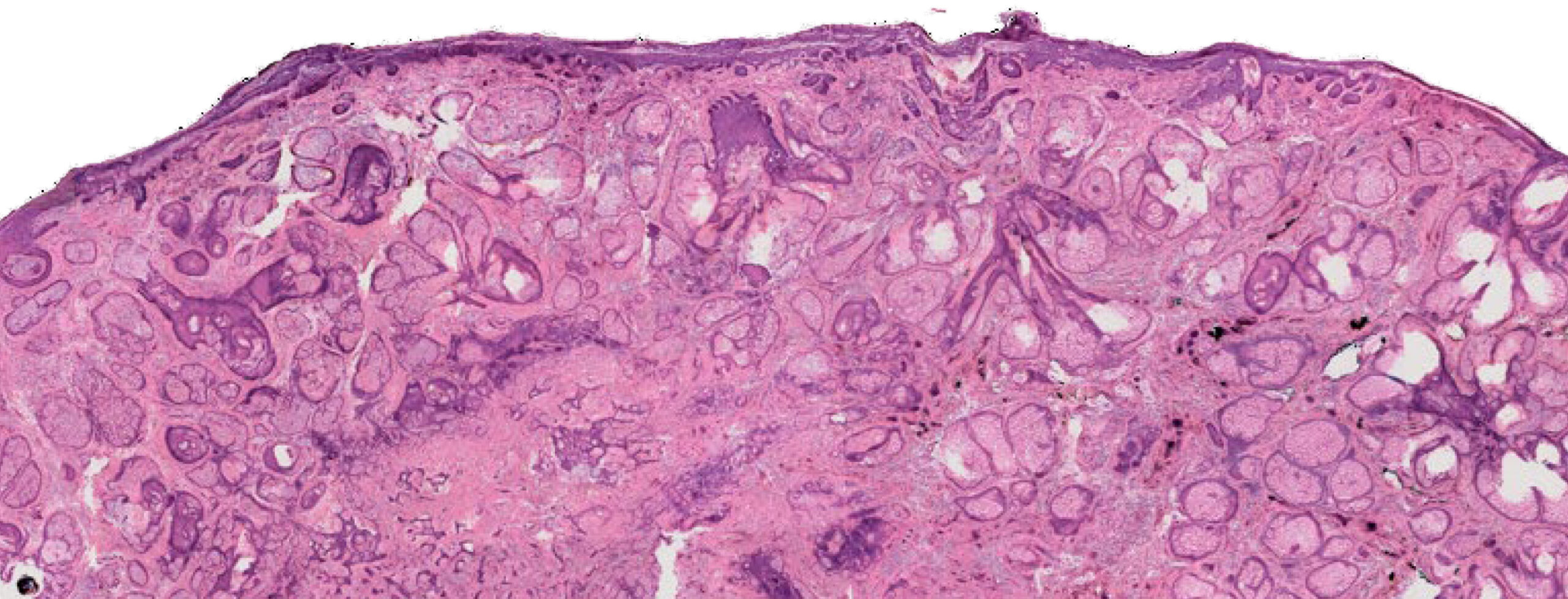
Sub-Cellular Resolution

Less than 1.0 µm

High Diagnostic Accuracy

99% sensitivity, 93% specificity

Seamless User Experience

Less than 60 seconds
No calibration required
Visually intuitive, pathology-grade digital images

to top

Our Solutions are positioned to empower the Full Spectrum of Oncology Clinical Care

Clinical Research

Surgical Margin Screening

Primary Diagnosis

to top

Our Team

VP, Operations

Directors & Advisors

Stan Schwartz

Senior Advisor at Nikon

Anna Bar, MD, Mohs Surgeon

Board Member: American Society for Dermatologic Surgery
Jason Hawkes

Jason Hawkes, MD, MCR

Clinical Trials Specialist Physician-Scientist
Jason Hawkes

Macrene Alexiades, MD, PhD, FAAD

Fellow: American Academy of Dermatology
Jason Hawkes

Sam Lesser

Strategy & Growth Advisor
to top

Ready to discuss the future of pathology?

Get in touch with us.
802 448 2623
info@surgivance.com


to top